【微创外科】备孕发现肾错构瘤?及时干预安心妊娠

看到一篇“ 31周孕妈肾错构瘤破裂出血,医院紧急剖宫产及紧急手术,实现保母、保胎、保肾”的新闻报道后,李女士(化名)后背一凉。原来李女士也患有双侧肾构瘤6年,一直未在意,妊娠后发现右侧肾错构瘤明显增大(最大径超过6cm),李女士非常庆幸自己没有发生新闻报道中的“ 妊娠期肾错构瘤破裂出血”。但李女士还有生育意愿,近期在备孕,且右侧腰部已有不适感,肾错构瘤病情不能再拖了,非常担心孕期发生新闻报道中的肾错构瘤 破裂出血。经朋友推荐,她找到珠海市妇幼保健院外科郑明康主任,终于解决了难题。
肾错构瘤是什么?
肾错构瘤又叫肾血管平滑肌脂肪瘤,是由平滑肌、脂肪组织和异常血管混合组成的良性肾脏肿瘤。该病多见于成年人群体,女性发病率是男性的2-4倍。由于多数患者早期无明显症状,若发生瘤体破裂出血,且错失治疗时机,可能会危及生命。
得了肾错构瘤,如何治疗?
肾错构瘤的治疗方案需要根据具体病情制定,主要包括保守治疗和手术治疗。对于无明显症状且肿瘤直径较小的,可定期随访观察。对于伴有临床症状、有出血倾向或肿瘤直径( 直径大于4cm)较大的,则建议手术治疗。常用的外科治疗方法包括动脉栓塞、保留肾单位手术和全肾切除术。随着医疗技术快速发展,腹腔镜下肾错构瘤切除的保肾手术更加精准安全。

李女士入院后常规完善检查,术前评估右侧肾错构瘤具备保肾条件,左侧肾错构瘤尚小,可以先定期随访观察。由泌尿外科专家褚靖副院长、郑明康主任团队为李女士行腹腔镜下右肾错构切除术(保肾手术),手术非常成功。术后李女士如期康复出院。近期复查超声提示右肾大小正常、肾实质均匀,恢复良好。

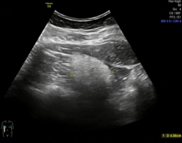
术前超声检查

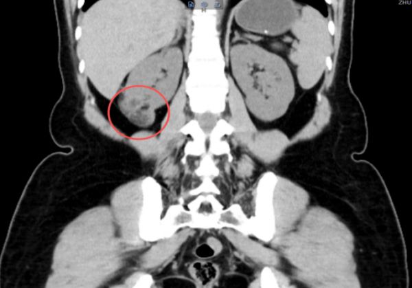
术前CT检查

外科团队实施手术
专家提醒
肾错构瘤的出血风险与肿瘤的大小呈正相关,肿瘤大于4cm时,自发破裂出血的风险概率增加。尤其妊娠期特殊生理性改变能够引起肾错构瘤体积增大,破裂出血的风险因素明显增加,危及母婴安全。
备孕女性注意啦!
一定要定期体检。如果备孕期检查发现肾错构瘤,及时到泌尿外科就诊咨询。毕竟,只有身体健康,才能迎接健康的宝宝呀! 返回搜狐,查看更多
相关推荐
【微创外科】备孕发现肾错构瘤?及时干预安心妊娠
凶险宫角妊娠暗藏危机 微创精准施治化险为夷
孕妈妈突发剧烈腹痛,竟是卵巢囊肿蒂扭转480度,医生及时微创手术保母婴平安
腹腔镜精准除巨瘤 守护十岁女童健康
特邀精准保胎首席专家孙军玲主任详解精准保胎与母胎微环境调控
罕见新生儿巨大肺囊腺瘤胸腔镜微创手术在西安交大二附院成功实施
疝始善终丨小儿腹股沟疝更安全的选择,普外科小儿腹腔镜微创治疗!
原创 宝宝肾脏长多了“尿龙头”关不住,专家提醒:重复肾畸形患儿需要定期复查
这个“瘤”,会影响我备孕吗?
盆腔炎备孕注意事项,先治好炎症再安心怀孕
网址: 【微创外科】备孕发现肾错构瘤?及时干预安心妊娠 https://www.youele.com/newsview19068.html
推荐资讯
- 1《忘川序》更新时间什么时候 6810
- 2惊吓的几种解决方法--仙翠堂 5814
- 3给宝宝做手印脚印的祝福语 4944
- 4北京科兴和科兴中维新冠疫苗是 3937
- 5孕妇产后6个月是“减重黄金期 3692
- 6丽声北极星自然拼读绘本第一级 3578
- 7想做父母,怎样能更快速的怀孕 3546
- 8如何预防小儿意外伤害 3456
- 9宝宝化痰最快的方法,宝妈一定 3440
- 10一岁内婴儿的智力发展有八次飞 3415
