产检可以查出脑瘤吗?备孕需警惕NF1遗传下一代
9岁患儿小石体表存在多发咖啡斑,随年龄增长斑点数量呈现增加趋势。除皮肤表现外,患儿腋窝区域出现雀斑样改变,家长决定进行医学检查。影像学检查发现右侧丘脑存在低级别胶质瘤,病变累及颞叶区域。
经鲁特卡教授手术治疗成功切除肿瘤后,基因检测结果显示存在NF1基因变异。确诊后患儿父母产生疑问:若该疾病具有遗传性,产前检查能否进行筛查?
NF1疾病概述与遗传特征根据临床表现和遗传基础,神经纤维瘤病主要分为以下类型:1型神经纤维瘤病(NF1)、NF2相关神经鞘瘤病(NF2),以及与NF2以外基因变异相关的神经鞘瘤病。
NF1曾称为von Recklinghausen病,是最常见的类型,典型特征为多发咖啡牛奶斑和神经纤维瘤。作为常染色体显性遗传病,约50%病例为家族遗传性,新生突变主要来源于父系染色体。
NF1基因的致病变异导致蛋白生成减少或功能降低,引发广泛临床表现,包括NF1相关肿瘤。该基因变异具有完全外显性,但表达存在差异,即使同一家族中不同个体的疾病严重程度和具体表现也不同。
临床表现与发展规律NF1的临床表现按特定顺序出现:咖啡牛奶斑→腋窝和/或腹股沟雀斑→Lisch结节(虹膜错构瘤)和神经纤维瘤。骨发育异常多在1岁内出现,症状性视路胶质瘤(OPG)通常在3岁内显现。其他肿瘤和神经系统并发症多在出生1年后出现,肿瘤恶变可发生于儿童期,但更常见于青春期和成年期。

皮肤表现特征
咖啡牛奶斑为平坦的均匀色素斑,出生后1年内出现,儿童早期增多后逐渐稳定。虽然15%普通人群存在1-3个咖啡牛奶斑,但6个及以上则高度提示NF1诊断。
腋窝或腹股沟区域雀斑体积更小,出现时间较晚,常成群出现于皮肤皱褶处。出生时通常不明显,3-5岁时才开始显现。
眼部表现特征
眼部表现包括Lisch结节、脉络膜异常、脉络膜色素斑和视网膜血管扭曲。这些表现不影响视力,但Lisch结节和脉络膜异常已纳入NF1诊断标准。
Lisch结节是虹膜隆起的棕褐色错构瘤,具特异性。6岁以下患儿检出率不足10%,但90%以上成人患者可见。脉络膜异常通过近红外反射成像和光学相干断层成像检测,由黑素细胞聚集组成。研究显示,3-18岁儿童中脉络膜异常比Lisch结节更常见,可能是更敏感的诊断指标。
肿瘤相关表现
NF1患者良恶性肿瘤发生率增加,神经纤维瘤是最常见的良性肿瘤,OPG(通常为低级别毛细胞型星形细胞瘤)和其他胶质瘤是主要颅内肿瘤,恶性周围神经鞘膜肿瘤是最常见非中枢神经系统恶性肿瘤。与普通人群相比,NF1患者总体恶性肿瘤风险更高,诊断年龄更小。
其他系统表现
骨异常包括假关节和骨发育不良,是NF1诊断标准之一,还包括身材矮小、脊柱侧凸、非骨化性纤维瘤、蝶骨发育不良和骨质疏松。神经系统异常包括认知缺陷、学习障碍、头痛和癫痫发作,还可见运动发育迟缓和大头畸形。沿脊柱的硬膜囊扩张可导致神经根受压引起疼痛等症状。
产前筛查与遗传咨询美国NIH共识会议于1987年制定诊断标准,1997年和2021年更新,基于NF1特定临床表现。父母无NF1的个体需符合至少2项标准(父母一方患病则需满足至少1项):
6个及以上咖啡牛奶斑,青春期前直径>5mm,青春期后>15mm ≥2个任何类型神经纤维瘤,或1个丛状神经纤维瘤 腋窝或腹股沟区雀斑 OPG ≥2个Lisch结节,或≥2处脉络膜异常 特征性骨病变,如蝶骨发育不良、胫骨前外侧凸或长骨假关节 NF1基因杂合性致病变变,正常组织中变异等位基因频率达50%基因检测可用于确认可疑病例诊断,指导家族成员筛查。针对先证者识别出的基因突变进行靶向检测,产前或胚胎植入前诊断需要基因检测。若NF1家族成员的准确基因突变已明确,可行羊膜穿刺术或绒毛膜绒毛取样进行胎儿基因分型。
植入前胚胎遗传学检测可识别未携带已知家族性NF1基因突变的胚胎。父母一方患病,每个子女患病风险为50%。若夫妇双方不符合NF1临床诊断标准但生育NF1患儿,再发风险低于1%,多由生殖系嵌合体导致。NF1生殖系嵌合体发生率低于NF2、成骨不全等其他显性遗传病。
治疗策略与临床管理NF1患者需要终身接受多学科团队治疗,需特别关注从儿科到成人治疗的过渡期。虽然NF1无统一疗法,但MEK抑制剂的应用正在改变丛状神经纤维瘤的治疗策略,相关临床试验正在进行。
NF1相关各种肿瘤的治疗方案取决于肿瘤类型、对邻近组织的影响及相关并发症。对于存在中枢神经系统肿瘤的NF1患者,规划治疗时应尽量减少放疗,因放疗可能引起第二恶性肿瘤和血管并发症。因此,NF1相关中枢神经系统肿瘤一般建议手术或化疗。
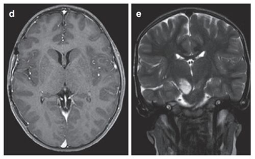
临床治疗案例分享前文提及的小石经鲁特卡教授治疗后病情稳定。患儿因左面部、四肢出现3周急性症状,伴持续3个月以上的轻微口齿不清就诊。体表存在多发性咖啡斑及腋窝雀斑,MRI显示右侧丘脑环形强化结节状肿瘤,累及内侧颞叶结构。

鲁特卡教授实施经颞中回-脑室入路次全切除术,病理证实为WHO I级毛细胞星形细胞瘤,BRAF重复融合、BRAF V600E及H3K27M检测均为阴性,基因检测检出NF1基因变异。术后影像学随访显示丘脑部分切除及中脑残留病灶,制定个体化辅助放疗方案,患儿治疗反应良好。术后6个月复查确认肿瘤控制稳定。
返回搜狐,查看更多
相关推荐
产检可以查出脑瘤吗?备孕需警惕NF1遗传下一代
原创 孕妇产检1路绿灯,结果四维查出畸形,无奈哭泣着打掉孩子
外阴白斑会遗传吗?外阴白斑能备孕吗?
原创 正常产检却生下畸形儿,这些畸形产检查不出,孕妈妈不能大意
原创 孕期产检时,胎儿的这4种疾病无法检查出来,妈妈要了解
备孕必看!别让婚检代替孕检!这些检查才是备孕的关键~
白癜风会不会遗传?备孕家庭必看的科学解答
【保健】无症状感染者为啥最近越来越多?孕妇该如何防护?产检怎么办?
这一疾病会有遗传风险?备孕时关键要注意……
出生缺陷防控科普知识 高龄夫妇如何科学备孕?
网址: 产检可以查出脑瘤吗?备孕需警惕NF1遗传下一代 http://www.youele.com/newsview18751.html
推荐资讯
- 1《忘川序》更新时间什么时候 6810
- 2惊吓的几种解决方法--仙翠堂 5814
- 3给宝宝做手印脚印的祝福语 4944
- 4北京科兴和科兴中维新冠疫苗是 3937
- 5孕妇产后6个月是“减重黄金期 3692
- 6丽声北极星自然拼读绘本第一级 3578
- 7想做父母,怎样能更快速的怀孕 3546
- 8如何预防小儿意外伤害 3456
- 9宝宝化痰最快的方法,宝妈一定 3440
- 10一岁内婴儿的智力发展有八次飞 3415
