北京圣贝口腔科普:换牙时舔牙,牙齿真会长歪吗?
原标题:北京圣贝口腔科普:换牙时舔牙,牙齿真会长歪吗?
小时候换牙,常听家里的老人说:
“掉上牙要往下扔,掉下牙要往上扔,这样长出来的新牙才又好又整齐!”
于是年幼的我们天真的眨眨眼睛,小心翼翼的一遍遍让牙齿做抛物线运动,生怕一不小心没扔到位,自己的牙齿就长不出来了......然而长大后我们才知道,真相是这样的。

除此以外,有些换牙时的小动作,也相传跟牙齿能不能长整齐有关。比如妈妈经常会叮嘱我们:不要去舔冒出来的新牙,不然牙会长歪。那这种说法有没有科学依据呢?
//换牙时舔牙,牙齿真会长歪吗?
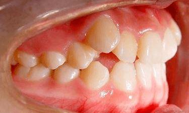
儿童换牙一般发生在6到12岁之间,一般来说,从乳牙松动脱落到新牙萌出稳定,需要一个漫长的过程。
刚生出牙根的乳牙想拼命往外挤,会对牙龈发生轻微刺激,让我们觉得“牙根痒痒的”。而且几乎每个儿童都会在换牙时,有事没事就用舌头去舔松动的牙齿,把它向外推一推。

长此以往,等到旧牙终于脱落新牙萌出时,舔牙的习惯也就形成了。
新牙在口腔内初来乍到,牙根还没有稳固下来,舔牙时会给牙齿施加一个力量,虽然短时间的舔牙,不会对新牙产生什么影响,但如果长期对新牙向同一个方向施力,就会让牙齿产生偏移,继而导致一口牙齿参差不齐。
//儿童换牙期还要注意什么?
01、预防牙齿错位
儿童在换牙的时候,颌骨也在一起跟着发育,咬合关系也相对应的在不停重建。所以有时会出现因为牙齿交替掉落,而影响到了咬合,让牙齿发生错位。

这些牙齿错位有的是暂时性的,可以在牙齿生长中自行调整。但如果发现不能自行调整的情况,要及时到医院寻求帮助,防止日后对儿童容貌造成不良影响。
02、保护六龄齿
六龄齿是儿童最早萌出的第一颗恒磨牙,它的位置比较特殊,是整个口腔的“咬合担当”,可以起到支撑儿童颌面部生长的作用,而且这颗牙齿一旦脱落,将不会再次萌出。

六龄齿一般在儿童六岁左右萌出,此时的牙齿尚在发育,容易受到龋坏的侵蚀,建议家长在恒磨牙长出一年以后,带孩子进行窝沟封闭或涂氟。

03、注意乳牙掉落顺序
乳牙脱落是有规律和顺序的,如果某颗乳牙没有在正确的时间内脱落,出现乳牙早失或者乳牙滞留,很可能导致乳牙萌出位置不对,影响牙齿整齐和口腔咬合。

一般来说,下门牙会最先脱落,继而是上门牙,接下来才是旁边的牙齿。
04、注意恒牙萌发情况
如果乳牙脱落得太早,而儿童诸如咀嚼、舔吮等动作,会让这一部分的牙床变得肥厚,让恒牙不易萌出。此时应该补充钙质,为乳牙萌出准备充足的钙质补充。如果恒牙迟迟不萌出,则需要带儿童到医院进行检查。
在儿童牙齿发育过程中,家长要注意孩子有没有不良口腔习惯。如果替牙期经常舔牙,要及时纠正不良习惯。
至于牙齿扔屋顶了没有,跟牙齿长歪没有半点关系。返回搜狐,查看更多
责任编辑:
相关推荐
北京圣贝口腔科普:换牙时舔牙,牙齿真会长歪吗?
原创 孩子换牙期间,经常吃这3类食物,不仅保护牙齿,还避免牙齿长歪
原创 牙缝大、牙齿歪、奶瓶龋齿,宝宝乳牙长得难看,原来是这么回事
圣贝牙科:孩子地包天使用MRC有效果吗?
原创 孩子乳牙整齐漂亮,换牙后却越长越丑?这些“毁牙”习惯孩子有吗
原创 好不容易等到宝宝换牙期,新牙却长歪了?医生:家长无知惹得锅
原创 孩子换牙要不要干预?若碰上这些情况,最好能及早干预
儿童口腔科普:小孩牙齿蛀牙疼怎么办?
新都华华圣艺口腔医院科普:宝宝长牙时要注意些什么呢?
新都华圣艺口腔医院科普:牙齿矫正的最佳年龄段是什么时候?
网址: 北京圣贝口腔科普:换牙时舔牙,牙齿真会长歪吗? https://www.youele.com/newsview2355.html
推荐资讯
- 1《忘川序》更新时间什么时候 6810
- 2惊吓的几种解决方法--仙翠堂 5814
- 3给宝宝做手印脚印的祝福语 4944
- 4北京科兴和科兴中维新冠疫苗是 3937
- 5孕妇产后6个月是“减重黄金期 3692
- 6丽声北极星自然拼读绘本第一级 3578
- 7想做父母,怎样能更快速的怀孕 3546
- 8如何预防小儿意外伤害 3456
- 9宝宝化痰最快的方法,宝妈一定 3440
- 10一岁内婴儿的智力发展有八次飞 3415
